Request an Appointment
1121 Main Street, Suite 2, South Weymouth, MA 02190
Existing Patients:
(781) 335-0604
New Patients:
(781) 660-7227
Our Office
1121 Main Street
Suite 2
South Weymouth
,
MA
02190
Existing Patients:
(781) 335-0604
New Patients:
(781) 660-7227
Visit Us Online
Home
About
Our Office
Our Team
Local Communities
Our Doctor
Patient Resources
New Patients
Toothboss Discount Plan
Patient Forms/Portal
Toothboss Anthem
Videos
Specialist Referrals
Smile Gallery
Dental Health
Post-Operative Instructions
Dental Videos
Services
Dental Sealants
Dental Cleanings
Emergency Treatment
Extractions
Fluoride Treatment
Oral Cancer Screening
Oral Exams
Periodontal Treatment
Preventative Program
Root Canals
Sedation Dentistry
TMJ Disorders
Inlays & Onlays
Dental Bridges
Dental Fillings
Dentures
Implant Dentistry
Cosmetic Dentistry
Ceramic Crowns
Teeth Whitening
Veneers
Pearl AI
Digital Radiography
Request Appointment
Contact Us
Visitor Center
Ask The Toothboss
Provide Your Feedback
Testimonials
Press Releases
Coverage
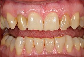
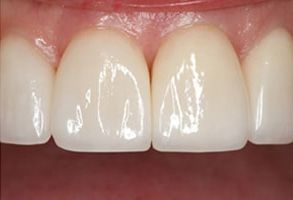
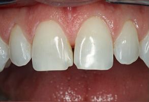
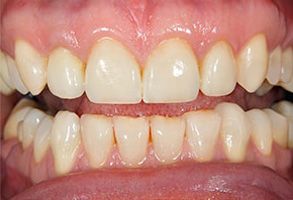
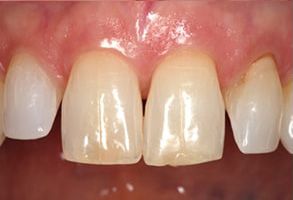
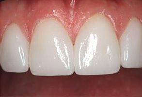
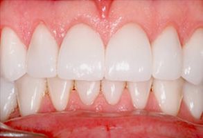
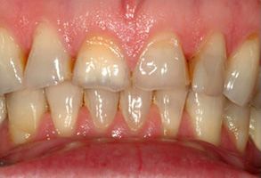
Dentistry Before and After Photos in South Weymouth
Before
After
Before
After
Before
After
Before
After
Before
After
Before
After
Before
After
Our Office
1121 Main Street
Suite 2
South Weymouth
,
MA
02190
Existing Patients:
(781) 335-0604
New Patients:
(781) 660-7227
Visit Us Online
Existing Patients:
(781) 335-0604
New Patients:
(781) 660-7227
© 2026 The Toothboss. All Rights Reserved. |
Accessibility Policy
Dental Marketing
Dentist Near Me
|
Dentist in South Weymouth
| Best Dentist